11th July 2022
Invisible Braces – A Popular Choice Among Adults
How Invisible Braces have become a popular choice among Adults
Invisible braces have become a popular choice among adults because they are virtually invisible and work gently to move teeth into the correct position over time. They can be taken out for special occasions or meals, making them a popular alternative to traditional metal braces.
What are invisible braces and how do they work
Invisible braces are clear plastic aligners to gradually move teeth into the correct position. The aligners are custom-made for each patient and are virtually invisible when worn. They can be removed for eating, drinking, brushing, and flossing, and can be taken out for special occasions.
These clear aligners are for anyone who wants to improve their smile without metal braces. They are especially popular among adults, who may feel self-conscious about wearing metal braces.
Who are invisible braces for?
Invisible braces are for people of all ages. They are a popular choice among adults because they are invisible and can be taken out for meals or special occasions. Clear aligners are made of plastic and are virtually invisible, making them a popular choice among adults. They work by gently moving your teeth into the correct position over time.
Invisible braces are becoming more popular because people are concerned about their appearance. Metal braces can be uncomfortable and can make people self-conscious. Invisible braces are an attractive alternative for people who want to improve their smile without metal wires and brackets.
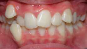
Before Invisible Braces
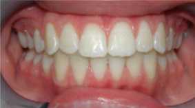
Straight Teeth After Invisible Braces
The benefits of invisible braces
The benefits of invisible braces include:
- They are virtually invisible when worn
- They can be removed for eating, drinking, and cleaning
- They are custom-made for each patient
- They are comfortable to wear
- They are less expensive than traditional braces
How to get invisible braces
If you’re looking for a way to get invisible braces, you’ve come to the right place. There are a few things you’ll need to do to get invisible braces, and we’re here to guide you through the process.
First, you’ll need to find a qualified orthodontist who offers invisible braces.

Once you’ve found a provider, you’ll need to schedule an appointment for a consultation. During the consultation, your orthodontist will assess your smile and determine whether invisible braces are the right treatment for you.
If they are, you’ll work together to develop a treatment plan.
Finally, you’ll need to wear your invisible braces as directed by your orthodontist to achieve the best possible results.
With a little time and effort, invisible braces can give you the beautiful, straighter smile you’ve always wanted!
Cost of invisible braces
If you’re considering invisible braces, you may be wondering how much they’ll cost.
The short answer is that invisible braces can range in price from around £1,800 to £5,000 depending on factors such as the severity of your dental condition and the length of time you need to wear the braces.
However, it’s important to keep in mind that invisible braces are an investment in your smile and your health, so the cost is often worth it.
Regardless of the cost, invisible braces are a great way to achieve a beautiful, healthy smile. So if you’re considering them, don’t let cost be the deciding factor – instead, focus on what’s best for your dental health.
How long do invisible braces take to work
They say that good things come to those who wait. Well, if you’re waiting for your teeth to straighten themselves out, you might be waiting a while.
Invisible braces are a popular orthodontic treatment for people of all ages, and they can produce dramatic results in as little as six months.

However, the amount of time it takes to see results will vary depending on the individual. In general, invisible braces are most effective for correcting mild to moderate dental irregularities. more complex cases may require additional treatment time.
But no matter how long it takes to achieve the perfect smile, the result is always worth the wait.
Invisible brace alternatives
Several alternatives to invisible braces can be considered depending on the severity of the misalignment. These include:
- Traditional metal braces: Metal braces are the most common type of braces and have been used for over 100 years. They are made of metal wires and brackets that are attached to the teeth. Metal braces are the most visible type of braces and can be uncomfortable to wear.
- Ceramic braces: Ceramic braces are made of clear or tooth-coloured brackets and wires. They are less visible than metal braces but can be more expensive.
- Lingual braces: Lingual braces are made of metal-ceramic brackets that are less visible than metal braces. They are attached to the teeth with clear or tooth-coloured wires. Ceramic braces can be more expensive than traditional braces.
Conclusion

Invisible braces have become a popular choice among adults due to their comfort and invisible appearance. They work by gently moving your teeth into the correct position over time and can be taken out for meals or special occasions.
If you’re considering invisible braces, schedule a consultation with Tavern Street Dental Practice today. Our qualified orthodontist can assess your smile and determine whether invisible braces are the right treatment for you.
We’ll work together to develop a treatment plan and choose the right type of invisible braces for your needs. Finally, you’ll need to wear your invisible braces as directed by your orthodontist to achieve the best possible results. With a little time and effort, invisible braces can give you the beautiful, straighter smile you’ve always wanted!
Back to Blog